近日,大竹县人民医院呼吸内科成功开展首例快速现场评价(ROSE)新技术,对经支气管镜下取材标本进行了快速、精准的标本评价。该项技术的成功开展,将大大提高医院在呼吸系统疾病的诊断和治疗水平。
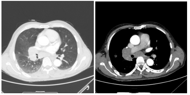
患者王某某,男,66岁,半年前出现咳嗽乏力。入院后,行胸部CT平扫+增强检查,结果显示患者右侧肺门区约5.2cm×3.3cm软组织肿块影,边缘毛糙,增强扫描呈明显强化,包绕右肺动脉干及其分支。根据CT检查结果,呼吸内科医生与家属商量后决定为患者行电子支气管镜检查,以尽快明确病因。

因患者病灶紧邻肺动脉,为明确病变性质,减少活检出血风险,大竹县人民医院呼吸内科主任蒋洪海与病理科主任黄海沟通商议后,决定为该患者行快速现场评价,减少活检次数,提高活检准确性。
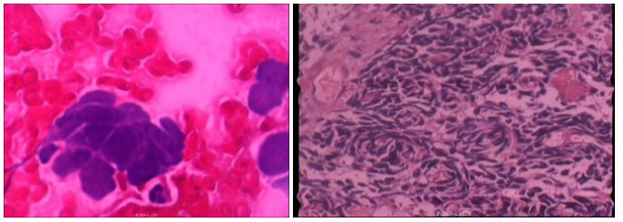
呼吸内科王誉峰主治医师行支气管镜检查取材,病理科黄海主任对标本进行快速现场制片、染色及判读,快速现场评价查见癌细胞,活检组织病理显示小细胞肺癌。

据悉,ROSE技术”最大的优势就是“快”和“准”,该项技术在介入呼吸系统疾病的诊断和治疗中的指导作用明显,可以在不明原因的肺部阴影、胸腔积液、重症感染及结核、肿瘤等疾病中做出现场快速诊断。支气管镜操作有了它的帮助,能缩短操作时间,减少重复活检次数,提高诊断及时性,从而帮助临床医生及时调整诊疗方案,达到最好治疗效果,同时为患者节约时间和费用。该项技术的成功开展,充分展示了大竹县人民医院在成功创建三级甲等综合医院后,对开展新项目、新技术的高度重视,将大大提升临床科室的诊疗技术水平,更好的为百万竹乡人民看好病,服好务。